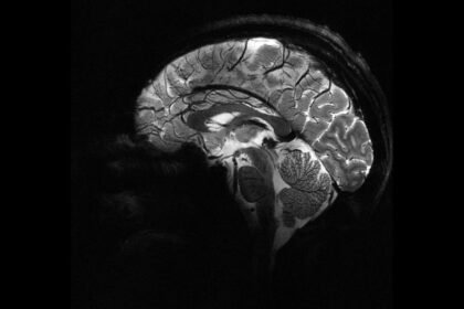
Epilepsiye farklı nedenler yol açsa da, vakaların yaklaşık yüzde 30’u beyindeki yapısal anormalliklerden kaynaklanıyor. Ancak bu lezyonlar, özellikle de beynin kıvrımlarının derinliklerinde sakl...
Dün 66,78 dolara kadar yükselen Brent petrolün varil fiyatı, günü 66,01 dolar seviyesinde tamamladı. Brent petrolün varil fiyatı, bugün saat 09.16 itibarıyla yüzde 0,13 artarak 66,10 dolar...
Sao Paulo Eyalet Üniversitesi’nden gökbilimci Valerio Carruba, yaptıkları araştırmanın, mevcut gözlem araçlarıyla görülemeyen ancak potansiyel olarak tehlikeli bir asteroid nüfusunu ortaya koydu...
Ülkede salı gece yarısı itibarıyla 2025 mali yılı sona ererken, federal hükümete finansman sağlayacak bütçe üzerinde anlaşmaya varılamadı. Federal kamu kuruluşlarının faaliyetlerini sürdür...
Anlaşma, YouTube’un bağlı olduğu Alphabet şirketi tarafından yapılırken, daha önce X/Twitter ve Facebook da Trump’a ödeme yapmayı kabul etmişti. Meta ocak ayında 25 milyon dolarlık bir anl...
Polis, aracın içinde insan sürücü bulunmadığı için cezai işlem uygulayamadığını açıkladı. Departmandan yapılan paylaşımda, “Ceza defterimizde ‘robot’ için kutu yok” ifadesi yer aldı. Yetkililer,...
CBO, federal hükümetin kapanmasının olası etkilerine ilişkin değerlendirmesini yayımladı. Analizde, hükümetin kapanması durumunda her gün yaklaşık 750 bin çalışanın ücretsiz izne çıkarılab...
New York Federal Mahkemesi’nde zorunlu olarak hakim karşısına çıkan göçmenleri duruşma çıkışında gözaltına alan ICE ekiplerini görüntüleyen AA başkameramanı Elibol’a polis sert müdah...
BM Genel Kurulu’nda düzenlenen “Myanmar’daki Rohingyalar ve diğer azınlıkların insan hakları durumu” başlıklı toplantı, üst düzey BM yetkililerini ve sivil toplum kuruluş...
Washington, Madrid, Tokyo ve Pekin gibi şehirlerde sıcak günlerin sayısı dikkat çekici şekilde arttı. Analize göre, 43 büyük başkentte 35 dereceyi aşan günler 1994-2003 döneminde yılda ortalama ...













